로그인
회원가입
병원소개
임플란트
심미보철
일반진료
온라인상담
고객센터
병원 소개
의료진 소개
장비 소개
병원 둘러보기
진료시간/오시는길
어금니 임플란트
앞니 임플란트
전악 임플란트
틀니 임플란트
치아성형
치아미백
일반진료
온라인상담
공지사항
치료전후사진
고객후기
치료전후사진
공지사항
치료전후사진
고객후기
치료전후사진 카테고리
전체
임플란트
치아성형
치아미백
일반진료
Total 43건
3 페이지
13
로그인 후 확인 가능합니다.
치아성형
앞니 라미네이트
12
로그인 후 확인 가능합니다.
임플란트
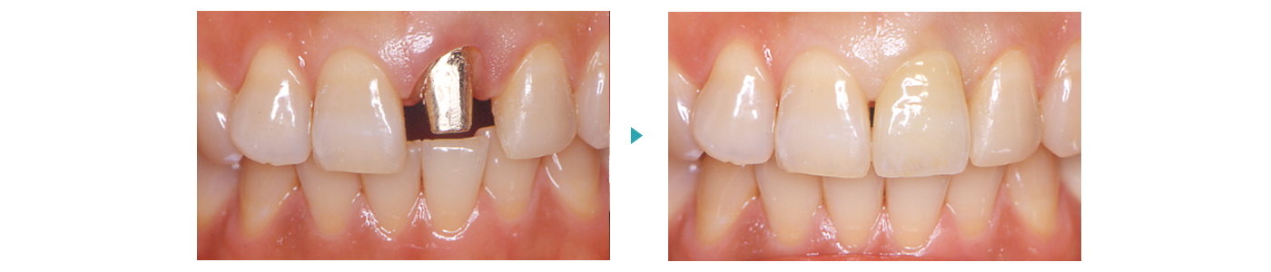
앞니임플란트와 E-MAX 크라운
11
로그인 후 확인 가능합니다.
치아성형
앞니 라미네이트
10
로그인 후 확인 가능합니다.
치아성형
앞니 올세라믹
9
로그인 후 확인 가능합니다.
치아성형
앞니 올세라믹
8
로그인 후 확인 가능합니다.
임플란트
앞니 임플란트
7
로그인 후 확인 가능합니다.
임플란트
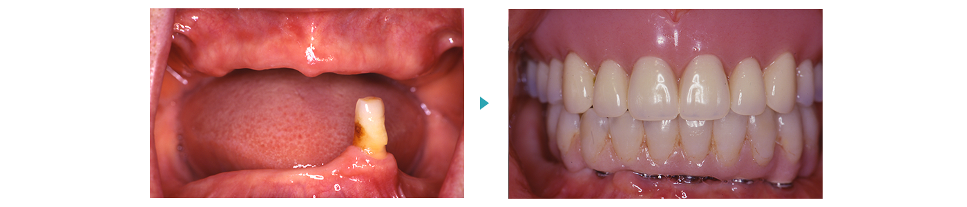
무치악(전체) 임플란트
6
로그인 후 확인 가능합니다.
임플란트
무치악임플란트
5
로그인 후 확인 가능합니다.
치아성형
라미네이트
4
로그인 후 확인 가능합니다.
치아성형
라미네이트
3
로그인 후 확인 가능합니다.
치아성형
라미네이트
2
로그인 후 확인 가능합니다.
치아성형
라미네이트
1
로그인 후 확인 가능합니다.
임플란트
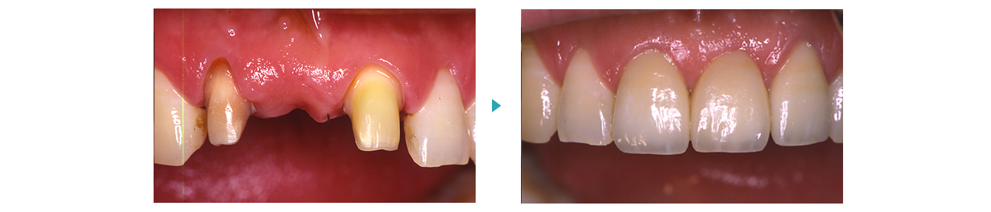
좌우상악중절치
처음
1
페이지
2
페이지
열린
3
페이지
검색
검색대상
제목
내용
제목+내용
글쓴이
글쓴이(코)
검색어
필수
검색
닫기
간편
상담신청
치료과목
어금니 임플란트
앞니 임플란트
전악 임플란트
틀니 임플란트
치아성형
치아미백
충치치료
치주질환
신경치료
신청하기
이름
전화번호
개인정보 취급방침 동의
병원소개
이용약관
개인정보 취급방침
오시는 길
경기도 과천시 과천대로 7길 20 스마트케이 A-208 | 전화번호 02-541-9811 | 사업자번호 896-98-01751 | 대표자 이준석
2025 서울시카고치과 All Rights Reserved.